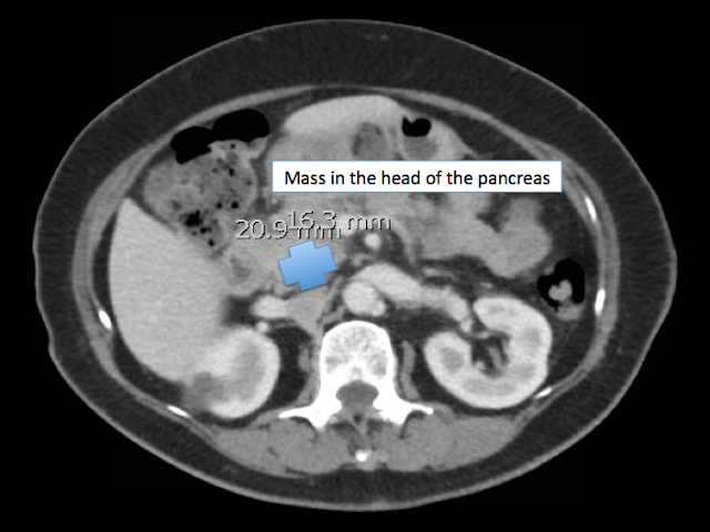
CT of the abdomen and pelvis revealed a mass within the pancreatic head and uncinate process, most likely representing pancreatic neoplasm. There was mass effect noted with resultant mild intrahepatic and extrahepatic biliary duct and pancreatic duct dilatation. Also evidence of pancreatitis likely secondary to pancreatic tumor.
The patient's lipase level returned >2400
A subsequent endoscopic retrograde cholangiopancreatography (ERCP) revealed a dilated common bile duct and pancreatic duct but no significant intrahepatic biliary dilation. With ultrasound a hypoechoic 24 X 23 mm mass was seen in the head of pancreas with upstream dilation of both ducts. Vessels looked clear of the mass. Small amount of ascites noted. Small peritumor lymph node seen.
Preliminary diagnosis by fine needle aspiration of the mass suggested neoplasm.
Final biopsy results: pancreatic adenocarcinoma.
The patient was discharged on hospital day 3 with follow up with gastroenterology and oncology.
Pancreatic Cancer
Background
- 4th most common cause of cancer-related death in the United States
- Ductal adenocarcinomas account for 95% of malignant pancreatic tumors
- Pancreatic head involved in 70% of cases
- Especially lethal --> 5-year survival rate < 5%
- Few early symptoms --> most patients diagnosed late
Risk Factors
- smoking
- advanced age
- high fat diet
- positive family history
Presentation
- constant dull pain in the epigastrium
- weight loss (more due to anorexia than malabsorption)
- painless jaundice (75% of patients)
- enlarged palpable painless gallbladder = Courvoisier's sign
- glucose intolerance progressing to diabetes
- migratory inflammatory thrombophlebitis = Trousseau's sign of malignancy
Diagnosis = CT
Management
- complete resection = only effective treatment
- few tumors (<20%) diagnosed early enough for curative surgical therapy
- complications presenting to the ED
- bowel obstruction
- jaundice
- problems with pain control --> do not withhold narcotics
- consult oncology to address end-of-life issues
References:
Hemphill RR, Santen SA, Rosen's Emergency Medicine Concepts and Clinical Practice, 8th Ed, 2014, Chapter 91: Disorders of the Pancreas
Discite Exerceo Adservio



It is no secret that I have a very deep and personal relationship with God. I have pushed and resisted that relationship this past year through all the bullshit I have had to go through living with Herpes but once again, God is bigger than my stubbornness and broke through that outbreak cold sore and all I had Genital Herpes. For me personally, hearing over and over how I am not good enough has really invaded my mind in the worst way possible. I completely shut down and I was just waking up like is this how life going to end this temporary herpes outbreak “fuck everybody with herpes if you know what I mean” but let's be honest here...
ReplyDeleteIt is a cowardly to say no to herbal medicine. It is fear based. And it is dishonest to what my heart wants. Don't build a wall around yourself because you are afraid of herbals made or taking a bold step especially when it's come to health issues and getting cure. So many young men/ women tell me over and over that Dr Itua is going to scam me but I give him a try to today I feel like no one will ever convince me about herbal medicine I accept Dr Itua herbal medicine because it's cure my herpes just two weeks of drinking it and i have been living for a year and months now I experience outbreak no more, You can contact him if you need his herbal medicine for any such diseases like, Herpes, Hepatitis, HIV, Epilepsy, Infertility, Love Spell,. Email..drituaherbalcenter@gmail.com then what's app.+2348149277967.... My advice to any sick men/women out there is simple... Be Always an open book. Be gut wrenching honest about yourself, your situation, and what you are all about. Don't hold anything back. Holding back will get you nowhere...maybe a one way ticket to lonelyville and that is NOT somewhere you want to be. So my final truth...and I'm just starting to grasp this one..
I am 29 years old and have been diagnosed with breast cancer, ease of treatment and a similar story, except for my first acceptance as a rejection of herbal medicine. I was not part of the Perseid movement and did not really build relationships with any of them, I just believed in their operation. I say this because it was during the use of Dr. Itua herbal medicine that I now attest that herbal medicine is real, the phytotherapy Dr. Itua heal my breast cancer which I suffered for 2 years. Dr. Itua herbal medicine is made of natural herbs, with no side effects, and easy to drink. If you have the same breast cancer or any type of human illness, including HIV / AIDS, herpes cancer,Ovarian Cancer,Pancratics cancers, bladder cancer, bladder cancer, prostate cancer, Glaucoma., Cataracts,Macular degeneration,Cardiovascular disease,Autism,Lung disease.Enlarged prostate,Osteoporosis.Alzheimer's disease,psoriasis ,Tach Diseases,
ReplyDeleteDementia.kidney cancer, lung cancer, skin cancer, skin cancer and skin cancer.testicular Cancer, , LEUKEMIA, VIRUSES, HEPATITIS, INFERTILITY WOMEN / MAN, LOT OF LOVE, LOTTERY. ITS CONTACT EMAIL / WHATSAPP: info@drituaherbalcenter.com Or drituaherbalcenter@gmail.com/ +2348149277967
Here is my contact phone number. +1-913-9518-145 if you would need some advise from me.